 
                 
Technology delivers precise energy to deep layers of the skin
It helps lift and tighten effectively with intelligent safety sensors, so you can be sure of safety in every step of the treatment and feel comfortable during the procedure with the cooling system that works with vibration
What does Picolex help with?
- Facial reshaping, slimmer jawline
- Reduce sagging skin
- Reduce excess fat, increase firmness in the chin, abdomen, upper arms, and thighs
- Reduce wrinkles around the eyes, cheeks, and forehead
- Stimulate collagen and elastin production for plump skin
"Lift and tighten the face, stimulate collagen, reduce wrinkles"
Painless, effective results, no wounds, no swelling, no bruising, no recovery time
 
                         Explore Picolex's working principles
Energy penetrates deep into the skin
 
                 Picolex technology delivers stable, high-energy ultrasound energy to targeted areas, the deep tissue layer beneath the skin, which acts as a facial lift.
Why deep skin lift?
Deep skin is the key tissue layer of facial muscles, crucial for facial lifting. Pulsifying energy into the subcutaneous and fat layers, the deep skin layer delivers a highly effective lifting and tightening effect.
Picolex machine components
Click and drag to rotate the image.
Differences between Cartridge Heads
The firing head is designed for precise treatment in each area
Picolex Machine Highlights
- Stable power, high precision
- Cartridge life of up to 20,000 shots
- 7 cartridges, firing at 7 depths below the surface Choose the one that best suits your specific area.
- Can be used with two handpieces simultaneously.
- Save time with two modes: Single and Repeat.
brochure
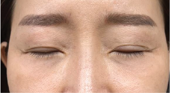
Picolex Case Review
Picolex technology: Lifting and firming, concentrated energy reaching 7 levels beneath the skin.
 
       
       
       
       
                                 
                              
                              
                              
                              
             










